Wie entsteht Parodontitis?

Nova-Smile Praxis in Düsseldorf: headerbild mit dünner gelber Linie vor schwarzem Hintergrund, Hinweis auf Implantologie, Zahnersatz und Prophylaxe, zahnärztliche Leistungen
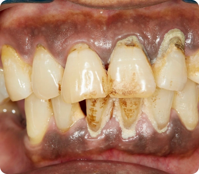
Mit Parodontitis, oft auch Parodontose genannt, ist nicht zu spaßen. Sie muss schnellstmöglich behandelt werden. Hartnäckige Bakterien, die sich in Zahnbelägen befinden, siedeln sich an der Zahnwurzeloberfläche an und wandern von hier aus stillschweigend in die Tiefe des Kieferknochens. Stillschweigend insofern, als die Patienten keine Schmerzen und von den sichtlichen Folgen überrascht werden. Der gesamte Zahnhalteapparat und der Kieferknochen werden über Wochen, Monate und sogar Jahre angegriffen und abgebaut. Bis schließlich scheinbar gesunde Zähne den Halt im Knochen verlieren und verloren gehen.

Welche gesundheitlichen Folgen kann eine Parodontitis verursachen?

Diese tief liegende Ansiedlung von Bakterien im Mund- und Kieferbereich hat zudem nachweislich gesundheitliche Folgen für den gesamten Körper. Bakterien, die sich über die Blutbahn im Körper verteilen können, erhöhen das Risiko einer Herzerkrankung und stellen eine Gefahr bei Diabetes mellitus und Schwangerschaft dar.

Wie können Sie eine Parodontitis vermeiden?

Um dieser Gefahr vorzubeugen, sind eine gute Mundhygiene mit den entsprechenden Hilfsmitteln, wie auch regelmäßige Kontrollen  beim Zahnarzt mit den entsprechenden professionellen Zahnreinigungen sehr wichtig. Frühzeitiges Erkennen und Handeln gewährleisten, dass durch Bakterien eine Entzündung und so ein stetiger Abbau des Kieferknochens verhindert bzw. auf ein Minimum reduziert wird.

Was ist der Unterschied zwischen Parodontose und Parodontitis?

Parodontose und Parodontitis sind beide Erkrankungen des Zahnhalteapparats, unterscheiden sich jedoch in ihrem Entzündungscharakter. Parodontose bezeichnet eine chronische, nicht entzündliche Erkrankung von Zahnfleisch und Zahnbett, die langfristig zu Zahnfleischrückgang und Zahnlockerung führen kann. Im Gegensatz dazu ist Parodontitis eine akute, entzündliche Erkrankung, die durch Bakterien verursacht wird. Beide Erkrankungen bedürfen unterschiedlicher Behandlungen, wobei eine rechtzeitige Erkennung und Behandlung entscheidend für den Heilungsprozess sind. Unbehandelt können sowohl Parodontose als auch Parodontitis zum Zahnverlust führen.

Welche Symptome hat eine Parodontose Erkrankung?

Eine Parodontose Erkrankung kann sich durch verschiedene Symptome bemerkbar machen. Häufiges Zahnfleischbluten beim Zähneputzen kann ein erstes Anzeichen sein. Die Erkrankung verläuft in der Regel schmerzfrei, was eine frühzeitige Diagnose erschwert. Im Verlauf der Erkrankung kommt es zu einem entzündungsfreien Rückgang des Zahnfleisches und einer Rückbildung des Bindegewebes um den Kiefer. Dies führt zu einer verringerten Stabilität der Zähne im Gebiss. Zudem liegen durch den Zahnfleischrückgang die Zahnhälse frei, was zu erhöhter Schmerzempfindlichkeit führt. Im schlimmsten Fall kann es zur Lockerung und sogar zum Verlust von Zähnen kommen.

Wie läuft eine Parodontitis-Behandlung bei Nova-Smile ab?

Das Nova-Smile Behandlungskonzept bei Parodontose-Patienten unterteilt sich in kurze Intervalle der professionellen Zahnreinigung, regelmäßige Parodontose- bzw. Zahnfleischbehandlung (alle 2 Jahre) sowie einige durch uns gezeigte nützliche Handgriffe, welche die tägliche Zahnpflege zu Hause unterstützen.

Wie lange dauert eine Parodontitis-Behandlung?

Eine Parodontitis-Behandlung bedarf lebenslanger Kontrollen und regelmäßiger Zahnreinigungen. Sie können jedoch mit einer sehr gründlichen häuslichen Zahnpflege selbst am besten einem Voranschreiten dieser Erkrankung vorbeugen. Dazu werden Sie im Rahmen der professionellen Zahnreinigungen angeleitet und motiviert. Für eine ausführliche Beratung stehen wir Ihnen zur Seite. Kontaktieren Sie uns

Was ist nach einer Parodontosebehandlung zu beachten?

Nach einer Parodontosebehandlung kann das behandelte Gewebe gereizt sein und Schmerzen können auftreten. Daher sollte Essen und Trinken nicht zu hart, heiß oder reizend sein. Rauchen und Alkohol sind zu vermeiden, da sie die Heilung beeinträchtigen. Es ist empfehlenswert, die tägliche Mundhygiene sehr ernst zu nehmen und regelmäßige Kontrolltermine beim Zahnarzt wahrzunehmen, um den Erfolg der Behandlung zu sichern. Die professionelle Zahnreinigung sollte zweimal im Jahr erfolgen. Früherkennung kann aufwendige Eingriffe vermeiden, da Parodontose oft schmerzfrei und schleichend verläuft.

Lässt sich eine Parodontose vorbeugen?

Eine Parodontose lässt sich vorbeugen. Die wichtigste Maßnahme hierbei ist eine sorgfältige Mundhygiene. Darüber hinaus kann man das Risiko für Parodontose durch einen Verzicht auf Rauchen und eine zuckerarme Ernährung senken. Bei Diabetikern kann eine gute Blutzuckereinstellung die Mundgesundheit verbessern und somit auch Parodontose vorbeugen. Eine ausgewogene, vitamin- und mineralstoffreiche Ernährung mit viel Obst und Gemüse wirkt sich ebenfalls günstig auf die Mundflora aus und kann somit Parodontose entgegenwirken.

Ist Parodontose ansteckend?

Parodontose ist ansteckend. Die Bakterien, die Parodontose verursachen, leben in unserem Mund und können durch den Speichel auf andere übertragen werden. Dies kann zum Beispiel beim Küssen oder beim Teilen von Besteck passieren. Nicht jeder, der diese Bakterien in sich trägt, erkrankt zwangsläufig an Parodontose. Ob die Krankheit ausbricht, hängt von verschiedenen Risikofaktoren ab, wie zum Beispiel der individuellen Abwehrlage, dem Rauchverhalten, Stress, Ernährung und der Einnahme von Medikamenten. Trotzdem ist der Träger der Bakterien immer ansteckend, auch wenn die Krankheit bei ihm nicht ausbricht.

Fallen von Parodontitis die Zähne aus?

Wenn eine aggressive Parodontitis über einen längeren Zeitraum unbehandelt bleibt, besteht das Risiko, dass sich Zähne lockern und schließlich ausfallen können. Dieser Prozess geschieht jedoch nicht plötzlich, sondern setzt voraus, dass der Zahnhalteapparat bereits stark geschädigt ist. In der Regel ist Parodontitis gut behandelbar, daher ist es wichtig, bei Anzeichen einer Parodontitis einen Zahnarzt aufzusuchen. Eine frühzeitige erforderliche Behandlung kann dazu beitragen, das Risiko eines Zahnverlustes deutlich zu reduzieren.

Wie lange dauert eine Parodontosebehandlung?

Die Dauer einer Parodontosebehandlung variiert je nach Patient und dem Ausmaß der Erkrankung. Nach der Diagnosestellung und dem ärztlichen Vorgespräch zur Anamnese folgen zwei Termine zur Vorbehandlung. Im ersten Termin misst der Zahnarzt die Zahnfleisch-Taschen aus und bereitet den Antrag an die Krankenkasse vor. Im zweiten Termin wird Zahnstein entfernt und der Zustand des Zahnfleisches kontrolliert. Die Hauptbehandlung, also die Reinigung der Zahnfleisch-Taschen, dauert je nach Tiefe der Taschen circa 1,5 bis 2,5 Stunden. Die Nachbehandlung, bei der der Zahnarzt die Heilung des Zahnfleisches kontrolliert, dauert etwa 30 Minuten. Die Heilung nach der Behandlung kann von wenigen Tagen bis zu mehreren Wochen dauern, je nach Schwere der Parodontitis.

Ist eine Parodontosebehandlung schmerzhaft?

Eine Parodontosebehandlung ist in der Regel nicht schmerzhaft. Der Zahnarzt betäubt die betroffenen Stellen lokal, um den Eingriff schmerzfrei durchzuführen. Obwohl die Behandlung je nach Schweregrad der Parodontose umfangreich sein kann und möglicherweise mehrere Therapiesitzungen erfordert, ist Schmerz unter örtlicher Betäubung normalerweise ausgeschlossen. Sollten sehr tiefe Zahnfleischtaschen vorhanden sein oder die konventionelle Therapie nicht erfolgreich gewesen sein, kann eine chirurgische Parodontosebehandlung notwendig sein. Diese erfolgt ebenfalls unter lokaler Betäubung und ist daher schmerzfrei.