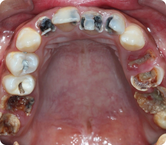
Was ist Karies?

Nova-Smile Praxis in Düsseldorf: headerbild mit dünner gelber Linie vor schwarzem Hintergrund, Hinweis auf Implantologie, Zahnersatz und Prophylaxe, zahnärztliche Leistungen

Karies ist eine weit verbreitete Zahnkrankheit, die durch das Zusammenspiel von Bakterien und Zuckern entsteht. Diese Mikroben produzieren Säuren, die den Zahnschmelz angreifen und dessen Struktur schädigen. Im Anfangsstadium kann sich Karies durch Flecken auf den Zähnen bemerkbar machen, die auf beginnende Karies hindeuten. Wenn sie nicht behandelt wird, breitet sich die Erkrankung in tiefere Schichten, wie das Dentin, aus und führt zu schmerzhaften Löchern. In solchen Fällen ist ein Zahnarzt gefragt, um die kariesbehandelte Stelle zu reinigen und die Zahnsubstanz mit einer Füllung, oft aus Kunststoff oder Komposit, zu ersetzen. Regelmäßige Zahnarztbesuche und eine gute Mundhygiene sind entscheidend, um Karies zu verhindern und die Zähne gesund zu halten.

Ursachen von Karies

Karies entsteht durch das Zusammenspiel von Bakterien und Zucker, die in der Mundhöhle Säuren produzieren. Diese Säuren greifen den Zahnschmelz an und führen zu einer Demineralisierung der Zahnsubstanz. Zu Beginn können sich flecken auf den Zähnen zeigen, was auf beginnenden Karies hindeutet. Ohne regelmäßige Zahnpflege und Besuche beim Zahnarzt schreitet die Krankheit voran und kann bis ins Dentin vordringen, wo schmerzen und ein Loch im Zahn entstehen können. In fortgeschrittenen Stadien ist eine Kariesbehandlung notwendig, oft durch das Bohren und Entfernen kariöser Bereiche, gefolgt von einer Zahnfüllung aus Kunststoff oder Komposit. Die Anwendung von Fluorid kann helfen, gesunde Zähne zu erhalten und beginnende Karies zu stoppen.

Symptome von Karies

Karies entsteht durch das Zusammenspiel von Bakterien und Säuren, die den Zahnschmelz angreifen. Zu den häufigsten Symptomen von Karies gehören Schmerzen im betroffenen Zahn, besonders bei süßen oder heißen Speisen. In den frühen Stadien kann es zu einem lochen Gefühl im Zahn kommen. Wenn die Karies fortgeschritten ist, sind Zahnsubstanz und tiefer liegende Gewebe betroffen, was häufig eine Kariesbehandlung durch den Zahnarzt erforderlich macht. Bei regelmäßigen Zahnarztbesuchen können beginnende Karies frühzeitig erkannt und behandelt werden, oft durch eine Zahnfüllung aus Kunststoff oder eine Kariesinfiltration.

ICON – Behandlung

Die ICON-Methode ist eine innovative Behandlung zur Kariesbekämpfung, die besonders in frühen Stadien der Kariesentwicklung eingesetzt wird. Dabei wird die Karies nicht wie gewohnt durch Bohren entfernt, sondern mit einem speziellen Harz behandelt, das in die betroffenen Zahnzwischenräume eindringt. Diese Methode ist für Patienten angenehm, da sie meist ohne Betäubung auskommt und keine Füllung erforderlich ist. Zudem wird der Zahn durch die Anwendung von Fluorid unterstützt, wodurch die Remineralisierung gefördert wird. Viele Zahnarztpraxen bieten diese effektive und schonende Methode an, um die Zähne langfristig gesund zu halten.

Wurzelbehandlung

Eine Wurzelbehandlung ist oft notwendig, wenn Karies in ein fortgeschrittenes Stadium übergegangen ist und das Zahnmark, auch Pulpa genannt, betroffen ist. Bei diesem Verfahren entfernt der Zahnarzt das infizierte Gewebe, reinigt den Wurzelkanal und füllt ihn anschließend mit einem speziellen Material. Ziel ist es, den Zahn zu erhalten und weitere Entzündungen zu verhindern. Eine frühzeitige Diagnose kann helfen, eine Wurzelbehandlung zu vermeiden und den Zahn langfristig gesund zu halten.

Diagnose von Karies

Die Diagnose von Karies ist ein entscheidender Schritt in der Kariesbehandlung. Der Zahnarzt untersucht zunächst die Zähne gründlich, um karies-bedingte Löcher oder kariöse Stellen zu erkennen. Dabei kommen verschiedene Methoden zum Einsatz, darunter Röntgenaufnahmen, die tiefe und fortgeschrittene Karies im Zahnzwischenraum sichtbar machen. Oftmals sind Bakterien der Auslöser für Karies, die sich im Zahnbelag ansammeln. Bei Verdacht auf Karies können Schmerzen in den betroffenen Zähnen ebenfalls auf das Vorhandensein von Karies hinweisen. Je nach Stadium der Karies wird die passende Behandlung gewählt, sei es das Bohren und Entfernen von kariösem Gewebe oder eine Zahnfüllung. In einigen Fällen kann auch eine Kariesinfiltration notwendig sein.

Behandlungsmöglichkeiten

Füllungen

Füllungen sind eine gängige Methode zur Behandlung von Karies, insbesondere in fortgeschrittenen Stadien. Bei einem Besuch in der Zahnarztpraxis wird der Zahnarzt zunächst die kariösen Stellen im Zahn untersuchen und das erkrankte Gewebe entfernen. Anschließend wird die Füllung in den Zahn eingebracht, um die Funktionalität wiederherzustellen und weitere Schäden zu verhindern. Diese Behandlung kann auch Zahnbereiche wie die Zahnzwischenräume betreffen. Fluorid kann zusätzlich helfen, das Risiko erneuter Karies zu vermindern.

Ernährung und Karies

Eine ausgewogene Ernährung spielt eine entscheidende Rolle bei der Vorbeugung von Karies. Zuckerhaltige Lebensmittel fördern das Wachstum von Bakterien, die Zahnschmelz angreifen. Ein regelmäßiger Besuch beim Zahnarzt hilft, Karies im Frühstadium zu erkennen und zu behandeln, bevor sie entfernt werden muss. Um das Risiko zu minimieren, sollten frisches Obst, Gemüse und Vollkornprodukte bevorzugt werden, während zuckerreiche Snacks und Getränke reduziert werden sollten.

Regelmäßige Zahnarztbesuche

Regelmäßige Zahnarztbesuche sind entscheidend, um Karies im Frühstadium zu erkennen und zu behandeln. Eine professionelle Zahnreinigung hilft, Plaque und Bakterien zu entfernen, bevor sie Schäden an den Zähnen verursachen. Mit regelmäßigen Kontrollen kann der Zahnarzt frühzeitig eingreifen und langfristige Zahngesundheit gewährleisten. Verpassen Sie nicht Ihre jährlichen Termine!heute und vereinbaren Sie Ihren Termin!

Vorbeugung von Karies

Um Karies effektiv vorzubeugen, ist eine gute Mundhygiene unerlässlich. Patienten sollten regelmäßig ihre Zähne putzen und Zahnseide verwenden, um Plaque zu entfernen. Zudem sind regelmäßige Besuche in der Zahnarztpraxis wichtig, um frühzeitig mögliche Karies-Stadien zu erkennen und zu behandeln. Der Zahnarzt kann individuelle Tipps geben und gegebenenfalls Fluoridbehandlungen durchführen, die den Zahnschmelz stärken und das Risiko einer Kariesentstehung verringern.

Mundhygiene

Eine gründliche Mundhygiene ist entscheidend, um Karies zu vermeiden und das Fortschreiten der Erkrankung zu verhindern. Regelmäßiges Zähneputzen mit fluoridhaltiger Zahnpasta entfernt Plaque und Bakterien, die Karies verursachen. Zudem sollten Patienten mindestens zwei Mal jährlich ihre Zahnarztpraxis aufsuchen, um professionelle Zahnreinigungen in Anspruch zu nehmen. Der Zahnarzt kann so Karies im Frühstadium erkennen und behandeln, bevor sie ernsthafte Schäden an den Zähnen verursacht. Eine gute Mundhygiene ist somit der Schlüssel zu gesunden Zähnen und einem strahlenden Lächeln.

Unsere Patienten fragten auch:

Infiltration (Kariesbehandlung ohne Bohren): Was ist das?

Die Kariesinfiltration, auch bekannt als Icon-Therapie, ist eine mikroinvasive Methode zur Behandlung von beginnender Karies, die ohne Bohren auskommt. Bei diesem Verfahren behandelt der Zahnarzt die kariöse Stelle mit einer speziellen Substanz. Zuerst wird ein Ätzgel aufgetragen, das den erkrankten Bereich des Zahnschmelzes porös macht, um den Zugang zu erleichtern. Danach wird ein flüssiger Kunststoff, bekannt als Icon, aufgebracht, der in die porösen Strukturen eindringt und diese auffüllt. Dieser Kunststoff wird anschließend mit UV-Licht ausgehärtet, was die Kariesentwicklung stoppt, indem es die kleinen Spalten und Löcher im Zahnschmelz verschließt. Der Vorteil dieser Methode liegt darin, dass sie minimalinvasiv ist und die Zahnschmelzstruktur weitgehend intakt bleibt, da nur eine sehr geringe Menge an gesundem Zahnschmelz entfernt werden muss.

Ersetzt eine Behandlung mit Icon grundsätzlich den Bohrer?

Eine Behandlung mit Icon ersetzt den Bohrer nicht grundsätzlich. Icon ist besonders geeignet für die Behandlung von Karies im Anfangsstadium, sowohl in den Zahnzwischenräumen als auch auf den Glattflächen eines Zahns. Es handelt sich um eine Methode der Kariesinfiltration, die es ermöglicht, Karies ohne Bohren und Schmerzen zu behandeln und gleichzeitig die unbeschädigte Zahnsubstanz zu erhalten. Bei dieser Methode wird die Karies durch Infiltration gestoppt, was laut klinischen Fünfjahresstudien bei 90 % der Patienten erfolgreich ist.

Allerdings kann Icon nicht für weit fortgeschrittene Karies verwendet werden, insbesondere wenn sich bereits ein Loch im Zahn gebildet hat. In solchen Fällen ist eine klassische Füllung mit Bohren erforderlich, da die Kariesinfiltration hier nicht ausreicht, um die beschädigte Zahnstruktur wiederherzustellen. Daher ist Icon vor allem eine ergänzende Option zu traditionellen Methoden der Kariesbehandlung und nicht immer ein vollständiger Ersatz für den Bohrer.

Es ist wichtig, dass Patienten sich mit ihrem Zahnarzt über die am besten geeignete Behandlungsform für ihre spezifische Situation beraten. Nicht alle Zahnarztpraxen bieten die Icon-Behandlung an, daher sollte man gezielt nachfragen und gegebenenfalls eine Praxis wählen, die diese Methode unterstützt.

Schützen Füllungen oder Kronen den Zahn vor neuem Bakterienbefall?

Füllungen und Kronen können dazu beitragen, einen Zahn nach einer Kariesbehandlung zu schützen, indem sie den beschädigten Bereich abdecken und stabilisieren. Sie verhindern, dass Bakterien und Speisereste in die behandelten Zahnbereiche eindringen und dort erneut Karies verursachen. Allerdings bieten weder Füllungen noch Kronen einen vollständigen Schutz vor neuem Bakterienbefall, da sie nicht verhindern können, dass sich auf der Zahnoberfläche oder in engen Zahnzwischenräumen erneut Plaque bildet.

Für einen anhaltenden Schutz ist eine gründliche Mundhygiene entscheidend. Regelmäßiges Zähneputzen, die Verwendung von Zahnseide oder Interdentalbürsten sowie regelmäßige zahnärztliche Kontrollen sind notwendig, um das Risiko einer erneuten Kariesbildung zu minimieren. Besonders an den Rändern von Kronen kann es bei unzureichender Mundhygiene zu neuen Schäden kommen.

Zusammengefasst bieten Füllungen und Kronen einen erheblichen Schutz für den behandelten Zahn, indem sie ihn stabilisieren und vor direkter Exposition gegenüber Bakterien schützen. Die langfristige Gesundheit des Zahns hängt jedoch wesentlich von der konsequenten Mundhygiene und regelmäßigen zahnärztlichen Untersuchungen ab.